Immunofluorescence microscopy image of the matrix protein fibrillin-1 in a mouse skin biopsy. The fibrillin-1 protein is shown in green, the tissue autofluorescence in red, and cell nuclei in blue. The numerous spherical shapes represent the hair follicles in the mouse skin.
Dr. Neha Dinesh, in the Reinhardt Lab at McGill University, took the image using an AxioImager M2 epifluorescence microscope.
Immunofluorescence microscopy image of the matrix protein fibrillin-1 in a mouse skin biopsy. The fibrillin-1 protein is shown in green, the tissue autofluorescence in red, and cell nuclei in blue. The numerous spherical shapes represent the hair follicles in the mouse skin.
Dr. Neha Dinesh, in the Reinhardt Lab at McGill University, took the image using an AxioImager M2 epifluorescence microscope.
Matrix in Bone Marrow
$200
Immunofluorescence microscopy image of the matrix protein fibronectin in mouse bone marrow. The fibronectin protein is shown in green, the tissue autofluorescence in blue, and cell nuclei in red. The numerous cells invading the tissue in the center represent blood cells and stem cells present in the bone marrow.
Dr. Neha Dinesh, in the Reinhardt Lab at
McGill University, took the image using an
AxioImager M2 epifluorescence microscope.
Immunofluorescence microscopy image of the matrix protein fibronectin in mouse bone marrow. The fibronectin protein is shown in green, the tissue autofluorescence in blue, and cell nuclei in red. The numerous cells invading the tissue in the center represent blood cells and stem cells present in the bone marrow.
Dr. Neha Dinesh, in the Reinhardt Lab at
McGill University, took the image using an
AxioImager M2 epifluorescence microscope.
Early Harmonies: Self-Lung Organoid Assembly in Progress
$200
This image captures the self-assembly process of airway epithelial cells during the early stages of lung organoid formation, taken on day 7. The red staining highlights F-actin, a crucial component of the cytoskeleton, while the blue marks the cell nuclei. At a magnification of 10X, the clustering of cells demonstrates the initial steps of organoid development, emphasizing the dynamic nature of cellular self-organization.
This image captures the self-assembly process of airway epithelial cells during the early stages of lung organoid formation, taken on day 7. The red staining highlights F-actin, a crucial component of the cytoskeleton, while the blue marks the cell nuclei. At a magnification of 10X, the clustering of cells demonstrates the initial steps of organoid development, emphasizing the dynamic nature of cellular self-organization.
Pathway Soldering
$200
How can we improve our understanding of the brain with current technologies? How can we improve current technologies with our knowledge of the brain? Depicting the spark of curiosity, this piece evokes what many neuroscientists feel while “soldering” neuroscience into current technological advances.
How can we improve our understanding of the brain with current technologies? How can we improve current technologies with our knowledge of the brain? Depicting the spark of curiosity, this piece evokes what many neuroscientists feel while “soldering” neuroscience into current technological advances.
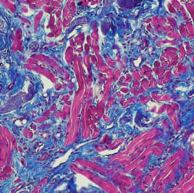
Mosaic of Motion
$250
Explore the dynamic microcosm of the tongue with this breathtaking Masson's Trichrome-stained section. The image showcases a mesmerizing interplay of red muscle fibers and blue collagen strands, forming a vivid mosaic that mirrors the tongue's remarkable versatility. Dark purple nuclei dot the landscape, orchestrating the symphony of movement and sensation that enables us to speak, taste, and savor life’s flavors. This intricate tapestry not only highlights the tongue’s structural elegance but also its incredible functionality.
Explore the dynamic microcosm of the tongue with this breathtaking Masson's Trichrome-stained section. The image showcases a mesmerizing interplay of red muscle fibers and blue collagen strands, forming a vivid mosaic that mirrors the tongue's remarkable versatility. Dark purple nuclei dot the landscape, orchestrating the symphony of movement and sensation that enables us to speak, taste, and savor life’s flavors. This intricate tapestry not only highlights the tongue’s structural elegance but also its incredible functionality.
Neural Nebula
$250
Step into the awe-inspiring realm of the brain with this stunning Luxol Fast Blue and H&E stained section. This image reveals a dazzling display of electric blue myelin sheaths, akin to a cosmic nebula lighting up the neural night sky. The contrasting pink and purple hues from the H&E stain unveil the dense network of neurons and glial cells, mapping out the intricate circuitry that powers thought, emotion, and cognition. This vivid portrayal captures the profound complexity and ethereal beauty of our brain’s architecture, a true testament to the wonders of the human mind.
Step into the awe-inspiring realm of the brain with this stunning Luxol Fast Blue and H&E stained section. This image reveals a dazzling display of electric blue myelin sheaths, akin to a cosmic nebula lighting up the neural night sky. The contrasting pink and purple hues from the H&E stain unveil the dense network of neurons and glial cells, mapping out the intricate circuitry that powers thought, emotion, and cognition. This vivid portrayal captures the profound complexity and ethereal beauty of our brain’s architecture, a true testament to the wonders of the human mind.
Playing God?
$250
This piece, inspired by Mary Shelley's novel, "Frankenstein", asks the viewer to consider the ethical implications of pursuing knowledge in synthetic biology. More specifically, the piece focuses on the themes of religion, ambition and consent as it relates to human life.
This piece, inspired by Mary Shelley's novel, "Frankenstein", asks the viewer to consider the ethical implications of pursuing knowledge in synthetic biology. More specifically, the piece focuses on the themes of religion, ambition and consent as it relates to human life.
Human made human
$280
Discovering, developing, and thriving by humans for humans. Everything starts and ends with the human; from the curiosity that drives our thirst for knowledge, to our desire to better the human condition. If not human made human, what else could it be?
Discovering, developing, and thriving by humans for humans. Everything starts and ends with the human; from the curiosity that drives our thirst for knowledge, to our desire to better the human condition. If not human made human, what else could it be?
Naringin
$300
Naringin is a flavonoid found in citrus fruits and leaves, known to be a potent antioxidant, and showing promising results in the treatment of cancers, osteoarthritis, osteoporosis, and other chronic disorders associated with ageing. Synthetic biology revolves around the embrace of genetic information that already exists in nature, whether from orange leaves or humans ourselves.
Naringin is a flavonoid found in citrus fruits and leaves, known to be a potent antioxidant, and showing promising results in the treatment of cancers, osteoarthritis, osteoporosis, and other chronic disorders associated with ageing. Synthetic biology revolves around the embrace of genetic information that already exists in nature, whether from orange leaves or humans ourselves.
Cellular Conversation: The Touch of Astrocytes
$280
Two primary rat astrocytes fluorescently labelled with antibodies against alpha-tubulin (green) and detyrosinated tubulin (magenta). Cell nuclei are stained with DAPI in blue. Tubulin is a protein which polymerizes to form microtubules, a major component of the cell’s cytoskeleton. The cytoskeleton gives these cells their specific morphology and allows them to complete their role of supporting neurons in the central nervous system. We can see them interacting through a thin process between their cell bodies.
Two primary rat astrocytes fluorescently labelled with antibodies against alpha-tubulin (green) and detyrosinated tubulin (magenta). Cell nuclei are stained with DAPI in blue. Tubulin is a protein which polymerizes to form microtubules, a major component of the cell’s cytoskeleton. The cytoskeleton gives these cells their specific morphology and allows them to complete their role of supporting neurons in the central nervous system. We can see them interacting through a thin process between their cell bodies.
Emerging Guardians: Oligodendrocyte Precursors
$280
Three primary rat oligodendrocyte precursors fluorescently labelled with antibodies against tubulin in green, tubulin polymerizing promoting protein (TPPP) in magenta and myelin basic protein (MBP) in blue. These cells will eventually mature to cells that are responsible for a process called myelination in the central nervous system. Myelination is critical for neurons as it increases their speed of transmission and supports them metabolically. The cytoskeleton of these cells composed of microtubules made of tubulin and its associated proteins play a crucial role in this process.
Three primary rat oligodendrocyte precursors fluorescently labelled with antibodies against tubulin in green, tubulin polymerizing promoting protein (TPPP) in magenta and myelin basic protein (MBP) in blue. These cells will eventually mature to cells that are responsible for a process called myelination in the central nervous system. Myelination is critical for neurons as it increases their speed of transmission and supports them metabolically. The cytoskeleton of these cells composed of microtubules made of tubulin and its associated proteins play a crucial role in this process.
Neural Sophistication: The Mature Oligodendrocyte
$280
Primary rat mature oligodendrocyte fluorescently stained with antibodies against myelin basic protein (MBP) in blue, alpha tubulin in green and Tubulin polymerizing promoting protein (TPPP) in magenta. Cell nuclei is stained with DAPI in blue. This image allows us to see the highly complex processes of these cells and interesting nodule like spots on these. Staining the microtubule cytoskeleton one can almost observe single microtubules as they form the backbone of these processes. The white color is produced by the large amount of overlap between green and magenta channels.
Primary rat mature oligodendrocyte fluorescently stained with antibodies against myelin basic protein (MBP) in blue, alpha tubulin in green and Tubulin polymerizing promoting protein (TPPP) in magenta. Cell nuclei is stained with DAPI in blue. This image allows us to see the highly complex processes of these cells and interesting nodule like spots on these. Staining the microtubule cytoskeleton one can almost observe single microtubules as they form the backbone of these processes. The white color is produced by the large amount of overlap between green and magenta channels.
Central Network: A Closer Look at Oligodendrocytes
$280
Primary rat mature oligodendrocytes stained against tubulin in green and detyrosinated tubulin in magenta. Cell nuclei are stained with DAPI in blue. As observed, these cells are highly branched allowing them to reach to numerous neuronal axons and support them through a process called myelination. Key to this role is the cells cytoskeleton composed of microtubules which helps form these complex highways away from the cell body.
Primary rat mature oligodendrocytes stained against tubulin in green and detyrosinated tubulin in magenta. Cell nuclei are stained with DAPI in blue. As observed, these cells are highly branched allowing them to reach to numerous neuronal axons and support them through a process called myelination. Key to this role is the cells cytoskeleton composed of microtubules which helps form these complex highways away from the cell body.
Primary rat astrocytes and oligodendrocytes immunostained against alpha tubulin (green), tyrosinated tubulin (red) and polyglutamylated tubulin (magenta). Cell nuclei are stained with DAPI (blue). Here we can see the morphological differences between the large astrocytes (left and bottom right) and the smaller oligodendrocytes (top and bright pink at the bottom). The cells cytoskeleton composed of tubulin with a variety of modifications allow these cells to complete their specific roles. Large overlap of the green and red stains produces the yellow color observed.
Primary rat astrocytes and oligodendrocytes immunostained against alpha tubulin (green), tyrosinated tubulin (red) and polyglutamylated tubulin (magenta). Cell nuclei are stained with DAPI (blue). Here we can see the morphological differences between the large astrocytes (left and bottom right) and the smaller oligodendrocytes (top and bright pink at the bottom). The cells cytoskeleton composed of tubulin with a variety of modifications allow these cells to complete their specific roles. Large overlap of the green and red stains produces the yellow color observed.
Duality on Fertility
$435
"Duality on Fertility" is a digital photograph by Sandra Viviana Murillo Morales (arQ RunicoS), a Colombian- Canadian interdisciplinary artist based in Montreal. This piece, part of her series "A Forest in Colour," captures an artwork composed of ambidextrous drawing and paper sculpture. It reflects the artist's interpretation of synthetic biology, exploring resilience and the transformation of human bodies enduring life- threatening illnesses through novel genetic therapies.
Inspired by her personal battle with ovarian cancer, the artist delves into the profound changes in her body,
particularly the loss of her natural ability to procreate. This loss is juxtaposed with the healing processes of
her scars, which she views as metaphors of survival and rebirth, embodied in her creations—her reframed
fertility through her art.
The composition of "Duality on Fertility" depicts cellular mutations and regenerations within her body
undergoing a novel treatment that inhibits a protein essential for DNA repair, targeting cancer cells. The
photograph captures her ambidextrous drawing alongside a paper sculpture, blending together to create a
new object that symbolizes the cellular processes in action. The colour palette, employing watercolours and
coloured pencils, is born from her colour synaesthetic perception of emotions, channeling grief and hope
into vibrant hues. These hues harmoniously blend the two-dimensional drawing with the three-dimensional
paper sculpture, embodying the simultaneous duality experience of facing death while embracing a second
chance at life—two sides of the same coin.
Trained as an architect, arQ RunicoS has undergone a profound professional and personal transformation.
Her passion for drawing with coloured pencils has evolved into a unique ambidextrous technique,
developed to cope with chronic pain in her hands caused by chemo-induced peripheral neuropathy—a
side effect of the treatments that sustain her life. This new form of expression allows her to reframe her fertility,
witness her body's transformation over time, marvel at the healing of physical scars, and cope with a
challenging prognosis.
"Duality on Fertility" symbolizes not only the artist's journey but also her reflections on the new universe her
body faces, understanding how medical science advancements allow her to keep hope, transform her
biology, and pursue life.
"Duality on Fertility" is a digital photograph by Sandra Viviana Murillo Morales (arQ RunicoS), a Colombian- Canadian interdisciplinary artist based in Montreal. This piece, part of her series "A Forest in Colour," captures an artwork composed of ambidextrous drawing and paper sculpture. It reflects the artist's interpretation of synthetic biology, exploring resilience and the transformation of human bodies enduring life- threatening illnesses through novel genetic therapies.
Inspired by her personal battle with ovarian cancer, the artist delves into the profound changes in her body,
particularly the loss of her natural ability to procreate. This loss is juxtaposed with the healing processes of
her scars, which she views as metaphors of survival and rebirth, embodied in her creations—her reframed
fertility through her art.
The composition of "Duality on Fertility" depicts cellular mutations and regenerations within her body
undergoing a novel treatment that inhibits a protein essential for DNA repair, targeting cancer cells. The
photograph captures her ambidextrous drawing alongside a paper sculpture, blending together to create a
new object that symbolizes the cellular processes in action. The colour palette, employing watercolours and
coloured pencils, is born from her colour synaesthetic perception of emotions, channeling grief and hope
into vibrant hues. These hues harmoniously blend the two-dimensional drawing with the three-dimensional
paper sculpture, embodying the simultaneous duality experience of facing death while embracing a second
chance at life—two sides of the same coin.
Trained as an architect, arQ RunicoS has undergone a profound professional and personal transformation.
Her passion for drawing with coloured pencils has evolved into a unique ambidextrous technique,
developed to cope with chronic pain in her hands caused by chemo-induced peripheral neuropathy—a
side effect of the treatments that sustain her life. This new form of expression allows her to reframe her fertility,
witness her body's transformation over time, marvel at the healing of physical scars, and cope with a
challenging prognosis.
"Duality on Fertility" symbolizes not only the artist's journey but also her reflections on the new universe her
body faces, understanding how medical science advancements allow her to keep hope, transform her
biology, and pursue life.
Reaching Out
$500
A three-dimensional structure made of motor neurons, the neuronal cells that control the body's movement, sending projections to find muscle cells to innervate. In green, neurofilament heavy chain, a protein found in motor neurons. In red, SV2, a protein found within synaptic vesicles.
A three-dimensional structure made of motor neurons, the neuronal cells that control the body's movement, sending projections to find muscle cells to innervate. In green, neurofilament heavy chain, a protein found in motor neurons. In red, SV2, a protein found within synaptic vesicles.
Functional Accident
$500
Synopsis of the nervous system inspired by previous studies in the field of Science.
Synopsis of the nervous system inspired by previous studies in the field of Science.
Alveolar Branching
$525
Alveolar Branching brings us deep into the microscopic structures of the respiratory tree, to the site of interchange, the moment where oxygen meets blood. Like a seed meeting the earth, or the earth nourishing the body, this work imagines the possibility of new seeds, new forms of life sprouting within us. Just as a single breath may offer a new path, the insertion of a new entity within a system offers new possibilities.
Alveolar Branching brings us deep into the microscopic structures of the respiratory tree, to the site of interchange, the moment where oxygen meets blood. Like a seed meeting the earth, or the earth nourishing the body, this work imagines the possibility of new seeds, new forms of life sprouting within us. Just as a single breath may offer a new path, the insertion of a new entity within a system offers new possibilities.
Genesis of Sight: The E12 Mouse Retina in Bloom
$1,000
This microscopy image captures the intricate beauty of an embryonic day (E) 12 mouse retina at a pivotal stage of its development. The vibrant hues of green, blue, and red represent different RNA molecules that act as developmental markers, weaving together in a symphony of colour and structure. This image not only showcases the elegance of biological development but also invites contemplation of how biological molecules underpin our understanding of life and vision.
This microscopy image captures the intricate beauty of an embryonic day (E) 12 mouse retina at a pivotal stage of its development. The vibrant hues of green, blue, and red represent different RNA molecules that act as developmental markers, weaving together in a symphony of colour and structure. This image not only showcases the elegance of biological development but also invites contemplation of how biological molecules underpin our understanding of life and vision.
Healthy corneal macrophages
$1,000
In the center of the cornea, macrophages are few and spaced out while the edges of the cornea (Limbus) contain many more macrophages.
Stained for cell nuclei by DAPI (Blue) and for macrophages by F4/80 (Green) and CD11b (Magenta). Imaged using a spinning disk confocal, Nikon CSU-X1.
In the center of the cornea, macrophages are few and spaced out while the edges of the cornea (Limbus) contain many more macrophages.
Stained for cell nuclei by DAPI (Blue) and for macrophages by F4/80 (Green) and CD11b (Magenta). Imaged using a spinning disk confocal, Nikon CSU-X1.
Biologie II
$1,000
In this work, the artist addresses the subject of synthetic biology. More specifically, the artist is interested in the production of human organs: transforming and reproducing controlled and targeted organisms, and being able to save lives. To be able to modify naturally existing biological components and make them better suited to specific needs contributes to the improvement of the human condition, but also of everything that surrounds us such as the agriculture, the environment, and health.
For his work, the artist has linked bright colours highlighting the importance of questioning the subject with the colour of blood and the different layers of the epidermis. The darker shades express both distrust and concern about “big pharma”, who appropriates the results of research and breakthroughs not to save lives, but to make a profit.
We can also see organs of different sizes, symbols of the language used by the BioBricks of synthetic biology, as well as other symbols which refer to the creative process of the artist, often making symbolic references in art.
In this work, the artist addresses the subject of synthetic biology. More specifically, the artist is interested in the production of human organs: transforming and reproducing controlled and targeted organisms, and being able to save lives. To be able to modify naturally existing biological components and make them better suited to specific needs contributes to the improvement of the human condition, but also of everything that surrounds us such as the agriculture, the environment, and health.
For his work, the artist has linked bright colours highlighting the importance of questioning the subject with the colour of blood and the different layers of the epidermis. The darker shades express both distrust and concern about “big pharma”, who appropriates the results of research and breakthroughs not to save lives, but to make a profit.
We can also see organs of different sizes, symbols of the language used by the BioBricks of synthetic biology, as well as other symbols which refer to the creative process of the artist, often making symbolic references in art.
DNA Origami
$1,000
DNA origami is a nanobiotechnology technique that uses the principles of complementary base pairing to create nano-structures out of long strands of DNA. The nucleotides are constructed from gold highlighted washi paper, with floral wire along the DNA backbone providing the shape. Various flowers, and a partially formed human, grow from the DNA, also constructed from floral wire.
DNA origami is a nanobiotechnology technique that uses the principles of complementary base pairing to create nano-structures out of long strands of DNA. The nucleotides are constructed from gold highlighted washi paper, with floral wire along the DNA backbone providing the shape. Various flowers, and a partially formed human, grow from the DNA, also constructed from floral wire.
Artificial protein pocket
$1,400
De novo protein design comprises a group of molecular biology techniques with the main goal of building proteins with specific properties. Intelligent design of macromolecules can generate proteins with previously unknown structures, and enhanced characteristics. This illustration shows the structure of a human-engineered protein, that contains a molecular pocket for the binding of other molecules. The structure is generated by the polymerization of protein monomers that form a flower-like structure with an internal cavity that recognizes and binds small peptides.
De novo protein design comprises a group of molecular biology techniques with the main goal of building proteins with specific properties. Intelligent design of macromolecules can generate proteins with previously unknown structures, and enhanced characteristics. This illustration shows the structure of a human-engineered protein, that contains a molecular pocket for the binding of other molecules. The structure is generated by the polymerization of protein monomers that form a flower-like structure with an internal cavity that recognizes and binds small peptides.
Calcium channels in cerebellar Purkinje cells
$1,500
This is a confocal microscope image of Purkinje cells from a slice of cerebellum from a mouse which had been genetically engineered to express green fluorescent protein (GFP) in its Purkinje cells (cyan). The slice was stained using immunohistochemical techniques to visualize one of the component proteins of calcium channels (red). Certain patterns of electrical activity in neurons cause these channels to open, which begins a cascade of biochemical reactions which results in neuroplasticity.
This is a confocal microscope image of Purkinje cells from a slice of cerebellum from a mouse which had been genetically engineered to express green fluorescent protein (GFP) in its Purkinje cells (cyan). The slice was stained using immunohistochemical techniques to visualize one of the component proteins of calcium channels (red). Certain patterns of electrical activity in neurons cause these channels to open, which begins a cascade of biochemical reactions which results in neuroplasticity.
Microglia constellations
$1,500
iPSC (induced pluripotent stem cell)- derived microglia after 30 days in culture. These cells shows common markers of maturation such as IBA1 in bright magenta and TREM2 in vibrant green. The cells were counterstained with Hoescht to see the nucleus.
iPSC (induced pluripotent stem cell)- derived microglia after 30 days in culture. These cells shows common markers of maturation such as IBA1 in bright magenta and TREM2 in vibrant green. The cells were counterstained with Hoescht to see the nucleus.
The Crying Robot
$750
"The Crying Robot" vividly illustrates the intersection of artificial intelligence and synthetic biology, exploring the emotive potential within bioengineered systems. The robot's face, with an open mouth, appears to be crying loudly, evoking a sense of human emotion in an artificial being. Blue conveys a sense of depth and introspection, yellow symbolizes innovation and intellect, and red represents life and vitality. This artwork challenges viewers to consider the implications of integrating human-like qualities into robotic forms, emphasizing the boundless possibilities of synthetic biology.
"The Crying Robot" vividly illustrates the intersection of artificial intelligence and synthetic biology, exploring the emotive potential within bioengineered systems. The robot's face, with an open mouth, appears to be crying loudly, evoking a sense of human emotion in an artificial being. Blue conveys a sense of depth and introspection, yellow symbolizes innovation and intellect, and red represents life and vitality. This artwork challenges viewers to consider the implications of integrating human-like qualities into robotic forms, emphasizing the boundless possibilities of synthetic biology.
Circus time
$1,520
This piece is about me accepting Nature, and trying to understand where my art starts and where Nature finishes. Here is just the early stage of the growth, but still visible. This stage is about my rethinking of where to stop, and when to capture; Is it the end or beginning of the process I work with?
This piece is about me accepting Nature, and trying to understand where my art starts and where Nature finishes. Here is just the early stage of the growth, but still visible. This stage is about my rethinking of where to stop, and when to capture; Is it the end or beginning of the process I work with?
Pisces
$2,000
This abstract piece was inspired by opera, jazz, and astrophysics. Different musical sounds were associated with different colours to create a visual symphony.
The artist is interested in bio-tech and engineering, particularly to explore the possibility of creating bioluminescent paint. In the artist’s vision, bacteria would dynamically thrive on the canvas before fading without sustenance. Although this idea only exists in theory for now, the artist has spoken to chemists and biologists about its potential.
“Pisces” ties in outer space and the ocean and explores the frontiers of human curiosity. The artist’s astrological sign is also Pisces, which is the 14th largest constellation as well.
This abstract piece was inspired by opera, jazz, and astrophysics. Different musical sounds were associated with different colours to create a visual symphony.
The artist is interested in bio-tech and engineering, particularly to explore the possibility of creating bioluminescent paint. In the artist’s vision, bacteria would dynamically thrive on the canvas before fading without sustenance. Although this idea only exists in theory for now, the artist has spoken to chemists and biologists about its potential.
“Pisces” ties in outer space and the ocean and explores the frontiers of human curiosity. The artist’s astrological sign is also Pisces, which is the 14th largest constellation as well.
Storm shell
$2,000
Immunofluorescence picture of a spheroid composed of astrocytes (in green) and motor neurons (in red) grown together for 2 months. Nuclei of the cells appear in blue.
Immunofluorescence picture of a spheroid composed of astrocytes (in green) and motor neurons (in red) grown together for 2 months. Nuclei of the cells appear in blue.
Did you know? We fundraise with Zeffy to ensure 100% of your purchase goes to our mission!